У рівненській лікарні провели унікальну оперцію 9-річному хлопчику з хворобою Пертеса
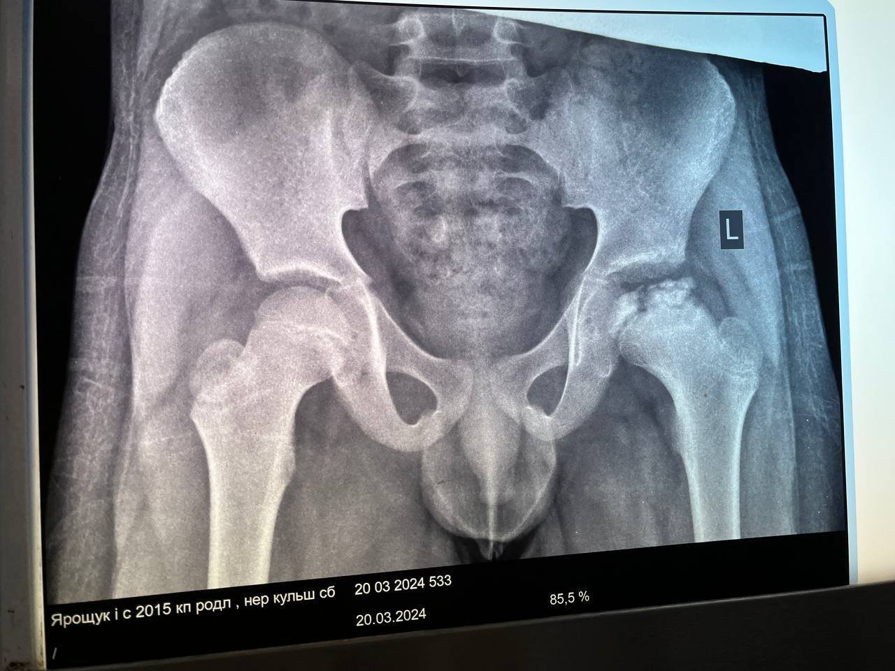
Пацієнт мав захворювання кульшового суглобу
До теми
У Рівненській обласній дитячій лікарні вперше провели малоінвазивне оперативне втручання 9-річному пацієнту з хворобою Пертеса. Про це 18 квітня повідомили на сторінці медзакладу у Facebook.
«У хлопчика був некроз голівки стегнової кістки. У нашій лікарні ми вперше провели таку операцію разом із лікарем з Києва Віктором Філіпчуком, який показав техніку й розповів про переваги малоінвазивного втручання», – розповів ZAXID.NET завідувач ортопедо-травматологічного центру Ігор Яковець.
За словами дитячого травматолога, особливістю малоінвазивного оперативного втручання є тунелізація шийки та голівки ураженої кістки з одночасним введенням пунктату кісткового мозку.
«Поки про результати говорити важко, оскільки ми тільки недавно зробили одну таку операцію, але плануємо продовжувати дотримуватись рекомендацій науково-дослідних інститутів, які кажуть, що такі оперативні втручання дають дуже хороші результати для пацієнтів», – зазначив Ігор Яковець.
Не пропустіть найважливіше Додайте ZAXID.NET у вибрані в GoogleДодамо, що хвороба Пертеса – це захворювання кульшового суглобу у дітей, викликане порушенням кровопостачання голівки стегнової кістки. Частіше виникає у хлопчиків від 4 до 12 років, рідше – у дівчаток. Переважно пошкоджує один суглоб, однак може бути і двостороннє ураження. Захворювання Пертеса можна повністю вилікувати при ранній діагностиці, а в більш запущених випадках воно може формуватися коксартроз, що призводить до інвалідності.

