Медики врятували в Чернівцях 30-річного чоловіка з гострим ішемічним інсультом
У пацієнта почали відмовляти праві кінцівки
У Чернівецькій обласній клінічній лікарні врятували пацієнта з гострим ішемічним інсультом. У чоловіка почали відмовляти праві кінцівки. Лікарі провели операцію методом ендоваскулярній терапії, повідомили в Чернівецькій обласній раді.
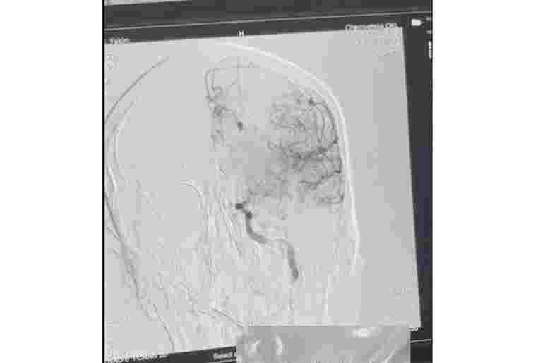
30-річний чоловік потрапив в лікарню через виклик швидкої допомоги. У нього раптово порушилося мовлення, свідомість, зникли відчуття у правих кінцівках. У відділенні невідкладних станів пацієнта оглянув невролог. Під час комп’ютерної томографії головного мозку лікарі виявили велику кількість тромбів у великій судині – лівій внутрішній сонній артерії. Пацієнту терміново провели тромболітичну терапію та ендоваскулярне втручання.

«Під час процедури судину відкрили, забрали тромби, кровопостачання головного мозку відновили. Уже наступного дня пацієнт мав позитивну динаміку, рухи у кінцівках відновилися. Зберігається моторна афазія, з якою він працює разом із логопедом. Прогноз – сприятливий», – зазначила лікарка-неврологиня інсультного відділення Ірина Житарюк.
Лікарі видалили тромби з судини
️У Чернівецькій обласній клінічній лікарні зазначили, що дуже важливо розпізнати ішемічний інсульт і одразу звернутися до медиків. Існує так зване правило FAST:
- F (Face) – асиметрія обличчя, опущений кут рота;
- A (Arm) – слабкість або відсутність рухів у руці чи нозі;
- S (Speech) – порушення мовлення, нечітка або відсутня мова;
- T (Time) – час негайно викликати 103.
Лікарі додають, що навіть один з перелічених симптомів – це привід терміново звернутися по медичну допомогу. Ішемічний інсульт має обмежений час, коли сучасне лікування є максимально ефективним. Перші 4,5–6 годин від початку симптомів – це шанс врятувати клітини мозку, уникнути інвалідності, зберегти мовлення, рухи, самостійність.